Arizona Policyholders: Notice to policyholders recently affected by flooding. 

Doctor talking to pregnant woman

Busy Mom Weighs Surgical Option for Back Pain

After the birth of her second child, Kristen Newman complained about back pain. Adjustments, meds and PT helped but didn't solve the problem. Was surgery in her future?

Following the birth of her second child, Kristen Newman, 36, reported progressively worsening lower back pain and L5/S1 radicular symptoms. Her lower extremity symptoms extended to the left foot along the S1 dermatome. She initially denied weakness, bladder or bowel incontinence/retention or alteration of sensitivity in the saddle region.

Chiropractic care, physical therapy, over-the-counter medications and a brief course of oral steroids, provided temporary relief, but Kristen’s symptoms progressively worsened, and she developed lower extremity plantar flexion weakness graded 4/5.

Kristen forwarded her records to Paul Casey, DC, for review. Dr. Casey recommended that she undergo an MRI evaluation of the lumbar spine without contrast and seek neurosurgical consultation, as soon as possible.

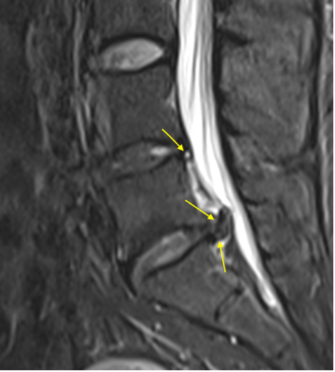
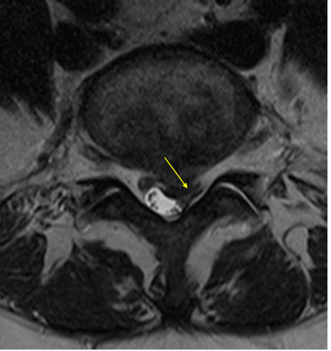
An MRI of the lumbar spine revealed a large L5/S1 disc extrusion in the sub-articular zone that deformed the thecal sac with posterior displacement of the left S1 nerve root (Image 1). An L4/5 central disc protrusion and annular fissure were visualized (Image 2).

Axial T2WI
(Image 1) Axial T2WI
(Image 2) Sagittal T2WI
(Image 2) Sagittal T2W


A Referral is Made

Kristen sought a neurosurgical consultation. The surgeon recommended a minimally invasive microdiscectomy without fusion. Of her own accord, Kristen sought care with a physical medicine and rehabilitation physician, who did not recommend spinal injections and referred her back to the surgeon. Following these consultations, the patient contacted Dr. Casey for further guidance.

Dr. Casey met with Kristen about her options. She elected to undergo a minimally invasive microdiscectomy without fusion. The result? The surgeon indicated that he was able to successfully debulk the herniated disc material. Kristen reported immediate and progressive relief of lower back pain, radicular symptomatology, and motor deficits.

What Can We Learn?

New research indicates that patients with lumbar disc herniations and radicular symptomatology who initially seek chiropractic care, experience a reduced frequency of surgical interventions. There are times when patients may benefit from ancillary medical care and surgical interventions.

Ultimately, patients must be provided with clinical options so they can make informed decisions. In such cases, it’s important to provide objective care, options and to explain the risks and benefits to allow them to make decisions that meet their needs. Patients should be reassured and encouraged to discuss the findings and options with their families, primary care physicians and surgeons.

Most importantly, patients should receive their diagnosis in terms they can understand. Provide insight into factors that are important toward allowing them to make non-surgical vs. surgical decisions by:

Carefully describing specific findings and expectations

  • Offer information regarding the prevalence of disc herniations and why degenerative discs could be a natural part of aging not always connected to back pain.
  • Discuss the possibility of resorption/recovery of disc herniations without surgery.

Suggesting recovery options

  • Recommend alternatives to activities that minimize further exacerbations.
  • Recommend time off from work, when necessary.

Helping patients monitor red flags

  • Stress the importance of recognizing any progressive motor deficits or decreases in bodily functions.
  • Discuss the need to report any of the above concerns to their doctors.
  • Recommend that they seek immediate, emergency care if they experience signs of rapid neurologic deterioration, weakness, bladder or bowel incontinence/retention.

Discussing alternative care

  • Share information related to alternate non-pharmacologic and non-surgical interventions.
  • Discuss pain management, surgical options and the benefits and risks of surgical interventions.
  • Describe short and long-term effects of both non-surgical and surgical interventions.

Discussing possible outcomes

  • Talk about recovery and follow-up chiropractic/ancillary care.
  • Documenting essential elements and patient progression in your chart.

About the Author

Dr. James Demetrious is a nationally distinguished Chiropractic Orthopedic Diplomate. He teaches advanced post-graduate chiropractic coursework throughout the US on behalf of the NCMIC Speakers Bureau and through his online continuing education company, PostGradDC.com. He also teaches coursework on behalf of Northeast College of Health Sciences. Dr. Demetrious is a published author and serves as an editorial reviewer on behalf of the journals: Spine, Annals of Internal Medicine and Clinical Anatomy. He conducts a private practice in Wilmington, North Carolina.