Arizona Policyholders: Notice to policyholders recently affected by flooding. 

A cranial x-ray.

Integrative Care Confirms Fracture in Elderly Patient

Madge Peterson, 77, fell in her garage and struck the back of her head on the concrete floor. She did not lose consciousness. Due to head and neck pain, she sought the care of her primary care physician (PCP).

A CT scan of her head and X-rays of the cervical spine were ordered by Peterson's PCP and read by an attending medical radiologist. The radiologist reported no acute abnormalities and DJD of the spine. Tylenol was prescribed for pain. The patient received no further medical care.

Due to worsening, localized suboccipital pain, Peterson visited her chiropractor one week after the fall. She brought with her a CD with images taken at the PCP’s office and the radiology reports. Her husband accompanied her to the appointment.

The patient completed a clinical update form and a pain drawing. Upon questioning, Peterson confirmed that she slipped on the stairs entering her house and fell forcefully backward, striking the back of her head. She denied any other causative factors, recent medical complaints, surgeries or changes of medication.

Initial Imaging Assessment

A review of the medical X-rays revealed what appeared to be a fracture of the right C1 lateral mass that was not identified by the radiologist (Image 1).

Examination Findings

With the possible diagnosis of C1 fracture, the patient was fitted with a cervical collar. An examination was conducted with due diligence and care.

The patient was alert and oriented. Her vital signs were normal. Her head and neck motion were severely guarded and globally restricted. Inspection revealed bruising of the posterior head. Gentle palpation revealed acute tenderness of the posterior head, the C2 spinous process, and suboccipital musculature. Increased muscle tone of the suboccipital musculature was noted.

A neurologic evaluation was performed. Cranial and peripheral nerve examinations revealed no apparent abnormalities. Auscultation of the subclavian and carotid arteries did not reveal a bruit. Valsalva maneuver produced localized suboccipital pain on the right. Orthopedic tests were not performed due to presumptive C1 fracture and pain.

Referral

The PCP was contacted immediately to inform him that Peterson may have suffered a C1 lateral mass fracture. He asked to reexamine the patient in his office. The chiropractor recommended that the PCP order CT and MRI evaluations to better visualize the upper cervical spine. The patient chose to be transported by her husband to the PCP’s office with the cervical collar.

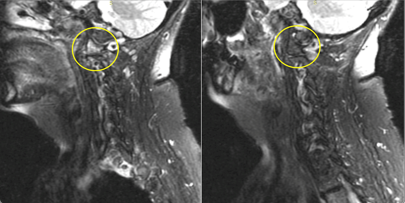
The PCP ordered an MRI with and without contrast. A radiologist reported bone marrow edema as evidenced by increased signal intensity on T2WI and decreased signal intensity on T1WI of the right C1 lateral mass and C2 vertebra. This was consistent with acute occult fracture (Images 2 and 3). While CT could confirm the diagnosis, it was not ordered or performed by the PCP, despite the recommendation.

xrays

A subsequent neurosurgical assessment was performed. The neurosurgeon deemed the fracture stable and recommended observation without surgical intervention.

Key Points

  • Mistakes occur. Consider the premise of clinical redundancy. Chiropractors are specialists who may recognize spinal issues that other allied professionals may not identify.
  • Consider the mechanism of injury and risk factors.
  • When available, review available images prior to assessment for guidance.
  • Make appropriate referrals to allied physicians, when necessary.

What Can We Learn?

Trust Your Instincts 

Based on her report of injury, the chiropractor had appropriate concerns and reviewed the films again, only to note what he felt may represent a C1 fracture.

 Appropriate Treatment Calls for Appropriate Referrals

In this case, the chiropractor did not just rely on the report but reviewed the films and noted a questionable fracture.  He made appropriate referrals before adjusting her based upon this finding, which is best practice for the patient and the chiropractor.

About the Author

Dr. James Demetrious is a distinguished Fellow of the International Academy of Neuromusculoskeletal Medicine and Chiropractic Orthopedic Diplomate. He teaches advanced post-graduate chiropractic coursework throughout the U.S. on behalf of the NCMIC Speakers’ Bureau. He conducts a private practice in Wilmington, North Carolina.